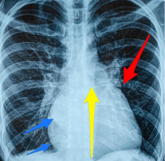
Insuficiência Cardíaca Congestiva (ICC):
Condição na qual o coração não consegue bombear sangue suficiente para atender às necessidades do corpo. Pode resultar em acúmulo de fluido nos pulmões e nos tecidos, causando dificuldade respiratória e inchaço.
DOENÇAS CARDIACAS
Dra Renata Prado
2/25/20241 min read


Escreva aqui o conteúdo do post
